NEWS
新闻资讯
|
ATAC-seq项目文章|IF=18.7 嗜酸乳杆菌通过调控小胶质细胞过氧化物酶体功能促进脑缺血后的认知功能恢复脑缺血是指一种病理状态,其特征为脑部血液循环不足,从而导致脑组织缺氧和营养供应中断。由于其高患病率和严重的神经后遗症,阐明其潜在的病理生理机制对于开发针对这种普遍的脑血管疾病的精准治疗干预措施至关重要。患有脑缺血的患者往往会出现诸如胃肠道出血、微生物群失调以及便秘等并发症。肠道微生物群失调不仅是脑缺血的后果,还会通过肠道-大脑轴的双向交流加剧其进展和预后。对肠道微生物的多种调节手段,包括粪便移植、益生菌等,为脑缺血提供了乐观的治疗潜力。然而,目前的方法存在局限性:粪便移植需要特定的方案,而益生菌在菌株特异性方面尚未达成共识。因此,识别并选择具有明确神经保护或抗炎特性的靶向益生菌菌株,能够提高治疗的精准度,为打破这种有害循环、改善患者预后提供更有效的手段。 目前很少有临床试验能够系统地确定最佳的益生菌菌株或阐明其在人类脑缺血症患者中的作用机制。为了解决这些空白,华中科技大学同济医学院附属同济医院张华秋教授团队对患有脑缺血(主要包括烟雾病和颅内动脉粥样硬化性狭窄)的患者的肠道微生物群组成进行了回顾性分析,并根据认知功能进行了分层。在急性及慢性脑缺血小鼠模型的临床前验证中表明,嗜酸乳杆菌(Lactobacillus acidophilus,L.acidophilus)的补充通过调节小胶质细胞的过氧化物酶功能发挥了有效的神经保护作用。基于此,该团队启动了一项初步的临床试验,以评估嗜酸乳杆菌补充剂在脑缺血患者中的治疗效果,为其实用性的转化提供了早期证据。爱基百客为该研究提供了ATAC-seq技术服务。
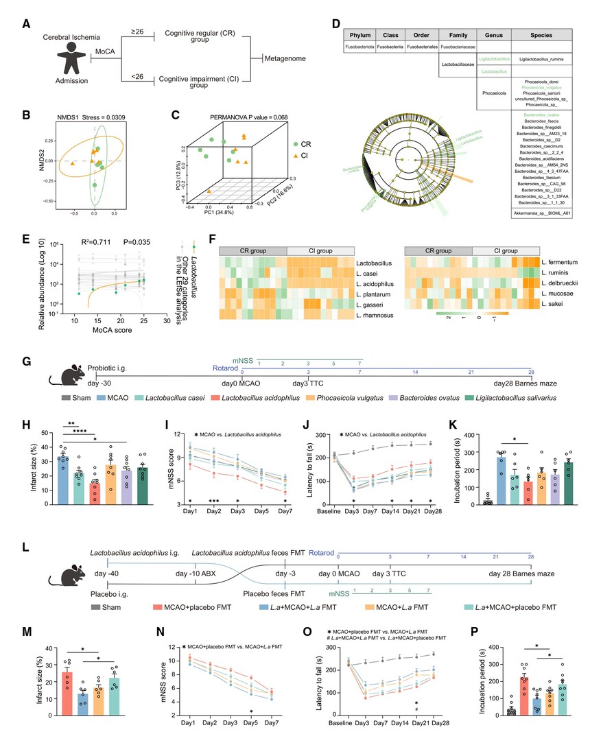
![]() ![]() 一、嗜酸乳杆菌补充剂能改善脑缺血小鼠模型的认知能力 为了确定与脑缺血患者认知能力相关的大肠菌群,参与者根据入院时的简易精神状态检查(MoCA)分数进行分组:认知正常(CR,MoCA≥26)组和认知受损(CI,MoCA<26)组。粪便宏基因组测序结果显示两组之间物种组成的明显分离模式,其中CI组中Ligilactobacillus,Lactobacillus,Phocaeicola和Bacteroides的丰度降低,但只有乳酸菌属的减少与认知衰退相关。RT-PCR确认在慢性脑炎患者中嗜酸乳杆菌和干酪乳杆菌(Lactobacillus casei)(人类肠道嗜酸乳杆菌属中的前10种)的水平显著降低,表明认知障碍的同时伴随着特定的微生物变化。 在大脑中动脉闭塞(MCAO)前30天内对小鼠喂食五种在脑梗死患者体内减少的微生物,发现嗜酸乳杆菌表现出更优的神经保护作用:减少了梗死面积、改善了改良神经功能评分、增强了运动功能、并提高了认知能力。为了确定嗜酸乳杆菌是否直接导致了所观察到的神经保护作用,作者采用了粪便微生物群移植(FMT)技术,发现受试者(在抗生素预处理后)的梗死面积较小,神经功能评分(mNSS)有所改善,并且出现了神经功能恢复。此外,抗生素敏感性测试表明,万古霉素和青霉素分别消除或削弱了嗜酸乳杆菌的保护作用,证实了神经保护作用依赖于像嗜酸乳杆菌这样的革兰氏阳性细菌。并且,在脑缺血发生前进行的给药(在MCAO发生前30天)在神经功能改善方面明显优于缺血后的治疗,这表明其具有预防作用。
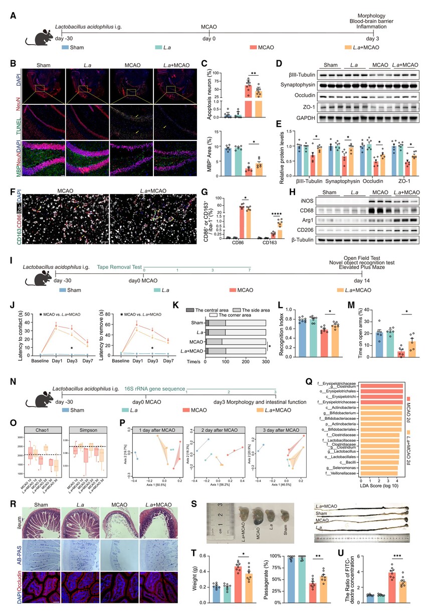
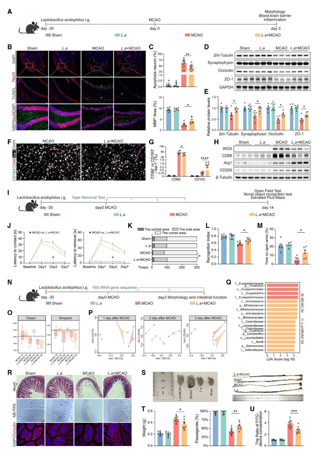
图1 嗜酸乳杆菌补充剂能改善脑缺血小鼠模型的认知能力 二、嗜酸乳杆菌的治疗能够预防脑缺血损伤后的神经损伤、神经炎症以及肠道微生物群的改变 使用嗜酸乳杆菌治疗后(L.a+MCAO小鼠),MCAO小鼠显著提高了存活率,并减少了体重下降。组织学分析显示,神经元凋亡和髓鞘损失得到了缓解,同时突触和紧密连接蛋白的表达也得以恢复。此外,该治疗还缓解了血脑屏障功能障碍。对神经炎症的评估显示,嗜酸乳杆菌降低了梗死区域周围区域中促炎性CD86+Iba1+小胶质细胞的密度,同时增加了抗炎性CD163+Iba1+小胶质细胞的密度。此外,嗜酸乳杆菌的治疗抑制了小胶质细胞中的促炎蛋白的表达(iNOS和CD68),而促进了抗炎性标志物(Arg1和CD206)。从功能上讲,接受治疗的小鼠表现出更快的胶带移除速度,焦虑样行为减少,新物体识别能力提高,以及抑郁行为减少。嗜酸乳杆菌还恢复了肠道功能,改善了胃排空和肠道传输过程,并降低了肠道通透性。 16S rRNA测序结果显示MCAO显著破坏了微生物群的组成,而嗜酸乳杆菌治疗减轻了这种破坏,使菌群特征在MCAO后第1-3天向sham组/仅嗜酸乳杆菌组的特征转变。其中,有益菌群(Lactobacillus, Bifidobacterium, Allo-baculum,和Turicibacter)增多,而病原菌(Shigella)减少。 ![]() 图2 嗜酸乳杆菌的治疗能够预防脑缺血损伤后的神经损伤、神经炎症以及肠道微生物群的改变 三、嗜酸乳杆菌的治疗能够提高脑缺血后LinA的吸收率和代谢水平 代谢物是连接肠道微生物群与器官功能的关键介质,在各种疾病中均发挥着重要作用。非靶向代谢组显示MCAO和L.a+MCAO小鼠肠道中的代谢物组成发生了显著变化。诸如α-亚麻酸(ALA)、γ-亚麻酸(GLA)、N-乙酰丝氨酸、原儿茶酸、庚二酸等代谢物显著升高。其中,与sham组相比,MCAO小鼠特定的多不饱和脂肪酸(PUFAs,如ALA和GLA)水平降低,而嗜酸乳杆菌治疗则将这些PUFAs水平恢复到更高水平。通路富集分析显示,与ALA和亚油酸(LinA)代谢以及脂肪酸β氧化相关的通路存在显著富集,这表明中长链脂肪酸,尤其是多不饱和脂肪酸,主要受到嗜酸乳杆菌处理的影响。 鉴于肠道中的脂肪酸可通过血液循环进入大脑,作者随后测量了血浆和梗死周围脑组织中中长链脂肪酸的含量。在使用嗜酸乳杆菌治疗后,血浆和脑组织中的中长链脂肪酸含量均有所增加,其中LinA和ALA在三种组织中的天然形式及其代谢产物存在差异性的升高,且血浆和周围脑组织中的LinA水平显著高于ALA。LinA是一种必需脂肪酸,必须通过饮食获取,因为其无法在体内自行合成。为了进一步证实LinA在嗜酸乳杆菌的保护作用中的关键作用,作者从接受治疗的小鼠饮食中去除LinA,并构建了中风模型。剥夺LinA显著消除了嗜酸乳杆菌治疗的保护作用,这证实了LinA是介导神经保护作用的关键代谢物。 为了进一步验证LinA的作用,作者通过不同的途径向MCAO小鼠施用了LinA。静脉注射LinA补充剂重现了嗜酸乳杆菌治疗的保护效果,而口服灌胃则没有(MCAO小鼠肠道菌群及肠道的结果功能遭到破坏,降低肠道吸收外源性亚油酸的能力)。这表明LinA只能在有嗜酸乳杆菌存在的情况下发挥神经保护作用,嗜酸乳杆菌主要可能通过增加脑缺血后外源性摄入的LinA在肠道中的吸收,从而将其输送到全身循环中。此外,作者在MCAO模型建立前用13C标记的LinA替代正常的LinA加入小鼠饲料中,与未接受嗜酸乳杆菌治疗的小鼠相比,接受嗜酸乳杆菌治疗的小鼠的血浆和梗死周围区域的13C标记LinA水平显著升高。表明LinA是介导嗜酸乳杆菌在脑缺血后神经保护作用的关键代谢产物。
图3 嗜酸乳杆菌治疗可增强脑缺血后LinA的吸收和代谢 四、嗜酸乳杆菌介导的LinA吸收量的增加,能够增强小胶质细胞中过氧化物酶体的功能,从而减轻缺血性脑损伤 为了进一步阐明嗜酸乳杆菌诱导的神经保护机制,作者对接受嗜酸乳杆菌治疗的MCAO小鼠脑梗死病灶周围组织进行了转录组测序。与MCAO组相比,L.a+MCAO组表现出明显差异,且主要与炎症和缺氧相关的通路,如TNF信号通路、NF-κB信号通路和HIF-1信号通路有关,这些通路在L.a+MCAO组中下调,表明嗜酸乳杆菌治疗抑制了神经炎症。此外,与过氧化物酶体代谢相关的通路,在L.a+MCAO组中得到富集,包括不饱和脂肪酸生物合成和脂肪酸代谢,嗜酸乳杆菌介导的脑内LinA水平的升高可能会引发细胞内过氧化物酶体的增殖,从而实现神经保护作用。 为了证实这一点,作者利用透射电子显微镜(TEM)、免疫荧光染色和流式细胞术对缺血性脑组织中的过氧化物酶体数量进行了评估。与MCAO组相比,L.a+MCAO小鼠周围细胞中的过氧化物酶体数量显著增加,其中小胶质细胞中过氧化物酶体数量的增加最为显著。补充LinA进一步增加了小胶质细胞中的过氧化物酶体数量,而剥夺LinA则被逆转,表明小胶质细胞中过氧化物酶体增殖直接源于嗜酸乳杆菌增强的LinA吸收。 氯膦酸脂脂质体(特异性、高效地清除中枢神经系统中的小胶质细胞)处理过的L.a+MCAO小鼠消除了嗜酸乳杆菌治疗的神经保护。并且,沉默小胶质细胞中的Pex14(关键的过氧化物酶体膜转运蛋白)同样起到了消除作用。此外,氯膦酸脂脂质体/Pex14沉默处理能够显著降低LinA和罗格列酮(一种PPARγ(过氧化物酶体增殖激活受体γ)激动剂)的治疗效果。这些证据表明这些结果证实了嗜酸乳杆菌诱导的LinA摄取增加通过影响小胶质细胞内过氧化物酶体的增殖,进一步介导了后续的神经保护作用。 ![]() 图4 嗜酸乳杆菌介导的LinA吸收增加可增强小胶质细胞过氧化物酶体的功能,从而减轻缺血性脑损伤 五、小胶质细胞过氧化物酶体功能通过清除活性氧来抑制小胶质细胞的促炎表型转变 在敲低小胶质细胞中的Pex14或过表达Pex3-Ub(Pex3泛素化,过氧化物酶体清除的关键信号)之后,活性氧(ROS)去除的酶活降低、LPS刺激后炎症标志物的表达增加;相反,即使做了IL-4处理,抗炎标志物的表达仍降低。过氧化物酶体主要参与脂肪酸的α氧化、极长链脂肪酸(VLCFAs)的β氧化、醚脂的生物合成以及ROS的清除过程。通过过表达与这些途径相关的酶,作者发现过氧化物酶体的ROS代谢对于小胶质细胞向促炎表型的极化至关重要。在体外抑制过氧化物酶体会导致LPS刺激后的小胶质细胞中ROS水平升高,但被嗜酸乳杆菌治疗以及逆转。此外,ROS抑制剂能够减少LPS刺激引起的促炎标志物增加以及了Pex14-KO诱导的缺血后小鼠大脑的炎症增加。表明,过氧化物酶体对ROS的清除对于防止小胶质细胞形成促炎表型至关重要,从而有助于解释使用嗜酸乳杆菌治疗所观察到的神经保护作用。 ![]() 图5 小胶质细胞过氧化物酶体功能通过清除ROS来抑制小胶质细胞的促炎表型转变 六、小胶质细胞过氧化物酶体功能通过脂肪酸β氧化过程,以表观遗传方式调控小胶质细胞转变为抗炎表型 为了进一步探究在使用嗜酸乳杆菌治疗的情况下,小胶质细胞的过氧化物酶体如何影响菌株表型的转变,作者对接受了嗜酸乳杆菌治疗的MCAO小鼠进行了snRNA-seq,并确定了不同的小胶质细胞群体。GSEA富集分析显示,在L.a+MCAO组中,与组蛋白乙酰转移酶结合相关的通路显著富集并显示出N-乙酰转移酶活性的显著富集。这些发现表明,嗜酸乳杆菌治疗会诱导小胶质细胞的乙酰化反应,特别是组蛋白乙酰化的增加。前期的结果表明L.a+MCAO小鼠长链和超长链脂肪酸的水平显著升高,可能作为组蛋白乙酰化的乙酰基供体。ELISA结果表明,在IL-4刺激后,BV2细胞(永生化小鼠小胶质细胞系)中的乙酰辅酶A水平升高;抑制酰基辅酶A氧化酶1(ACOX1)、肉碱O-乙酰转移酶(CrAT)和ATP-柠檬酸合酶(ACLY)的功能会导致乙酰辅酶A水平降低,并使向抗炎表型的转变减弱,但会被补充乙酸盐或帕比司他(一种组蛋白去乙酰化酶HDAC抑制剂)转变。 L.a+MCAO小鼠原代小胶质细胞的线粒体脂肪酸β氧化速率的检测结果表明嗜酸乳杆菌治疗在脑缺血后并未提高线粒体脂肪酸β氧化速率,这突显了过氧化物酶体脂肪酸β氧化是嗜酸乳杆菌的神经保护作用的关键介导因素。此外,为了探究乙酰辅酶A是否通过新生脂肪生成影响小胶质细胞表型的转变,作者在IL-4刺激的细胞中抑制了ACC1,但未观察到对抗炎转变的影响。最后,在存在过氧化物酶体功能障碍的细胞中补充乙酸,当受到IL-4激活时,恢复了抗炎标志物的表达。表明过氧化物酶体功能障碍导致的抗炎转变的受损是由乙酰辅酶A生成量减少而不是新生脂肪生成引起的。通过前面RNA-seq数据中N-乙酰转移酶活性的升高以及snRNA-seq中上调的组蛋白乙酰转移酶结合途径,作者推测由过氧化物酶体产生的细胞质乙酰辅酶A可能介导中风后大脑损伤后的组蛋白乙酰化,从而推动小胶质细胞向抗炎表型的极化。 为了验证这一结论,作者对BV2细胞以及L.a+MCAO小鼠的小胶质细胞中的泛赖氨酸乙酰化水平进行了定量分析,发现当存在过氧化物酶体功能障碍时,组蛋白乙酰化程度降低(主要是H3,通过13 ClinA处理后10-25kda的蛋白鉴定证实),嗜酸乳杆菌治疗能够缓解这种降低现象。对常见组蛋白乙酰化位点的进一步分析显示,在IL-4刺激后,H3K9ac、H3K18ac和H3K27ac等位点存在显著的乙酰化现象,而过氧化物酶体功能障碍则导致这些位点的乙酰化水平降低。组蛋白乙酰化修饰与染色质可及性有关,ATAC-seq结果表明,与Vector-+IL-4 BV2细胞相比,Pex14 KD+IL-4 BV2细胞的全基因组染色质可及性降低,与抗炎症相关的基因的染色质可及性也有所下降。最后,ChIP-qPCR分析证实,在氧化酶体功能受损的细胞中,H3K9Ac、H3K18Ac和H3K27Ac与抗炎基因(如Tgfb1和Il-10)在它们的启动子处的结合显著减少。总之,作者的研究结果表明,过氧化物酶体中的脂肪酸β氧化作用通过增强H3的乙酰化来调节小胶质细胞向抗炎状态的转变,从而为嗜酸乳杆菌在脑缺血后发挥神经保护作用提供了一种机制。 ![]() 图6 增强的小胶质细胞过氧化物酶体功能通过脂肪酸β氧化过程,以表观遗传方式调控小胶质细胞转变为抗炎表型 七、嗜酸乳杆菌药物治疗能提升脑缺血患者的认知能力 为了评估嗜酸乳杆菌治疗对脑缺血患者临床疗效的效果,作者开展了一项临床试验(ClinicalTrials.gov编号:NCT05845983)。本研究包含了该临床试验的部分报告(从2023年6月至2024年6月),共纳入39名被诊断为脑缺血的患者(安慰剂组22人,L.a组17人)。L.a组和安慰剂组分别接受嗜酸乳杆菌或安慰剂治疗3个月。通过蒙特利尔认知评估(MoCA)和简易精神状态检查(MMSE)的改善值(治疗后减去治疗前)来评估认知功能的改善情况。结果显示,L.a组患者的认知改善程度明显优于安慰剂组。作者还利用脑灌注成像(动脉自旋标记磁共振成像[ASL-MRI])评估了嗜酸乳杆菌治疗对大脑各区域的血流动力学影响,两组患者在全脑区域、顶叶和基底神经节的灌注评分均有所增加。且与安慰剂组相比,针对同一患者,在嗜酸乳杆菌治疗后,顶叶的灌注评分有显著改善。来自嗜酸乳杆菌组一名代表性脑缺血患者的影像数据表明,在入院时,弥散加权成像(DWI)显示脑缺血,数字减影血管造影(DSA)显示颈总动脉远端狭窄。在进行搭桥手术并经过3个月的嗜酸乳杆菌治疗后,磁共振血管造影(MRA)显示,该患者出现了典型的“桥血管结构”(bypass vessels)。两组的代表性动脉自旋标记(ASL)图像均表明,与安慰剂组相比,在接受嗜酸乳杆菌治疗3个月后,顶叶的脑血流量有更显著的增加。这些结果表明,嗜酸乳杆菌治疗能够改善脑缺血患者的认知功能障碍,并增加搭桥手术后脑部的血流量。 随后,作者对患者的粪便样本中的肠道微生物组成和代谢物特征进行了分析。对一部分患者(安慰剂组6例,嗜酸乳杆菌组6例)进行的16S测序显示,接受嗜酸乳杆菌治疗的脑缺血患者肠道微生物群的α多样性有增加的趋势,并且嗜酸乳杆菌组和安慰剂组之间的微生物群组成有显著差异,有益细菌(如丁酸生产者(Roseburia和Faecalibacterium)和免疫调节菌群(Bifidobacterium和Gemmiger))增加。代谢组结果显示在接受嗜酸乳杆菌治疗的患者中,多不饱和脂肪酸的含量显著升高,而中链脂肪酸的含量则明显降低,富集分析表明,嗜酸乳杆菌治疗组中ALA和LinA代谢途径显著富集,且LinA含量的定量分析证实,嗜酸乳杆菌治疗增加了LinA的含量。 综合来看,这些临床发现表明,使用嗜酸乳杆菌治疗显著改善了脑缺血患者的认知功能、脑部血液循环、肠道微生物群组成以及多不饱和脂肪酸水平,突显了其在临床中的应用价值。 在脑部缺血之后,肠道微生物群落的组成发生了变化,这种变化通常被称为肠道菌群失调。这些微生物群落的失衡会影响微生物副产物的生成,例如脂肪酸和神经递质,进而通过肠-脑轴影响大脑功能。这为针对微生物群落调节的治疗干预提供了潜在的途径。本文发现嗜酸乳杆菌通过LinA吸收来增强大脑认知功能,嗜酸乳杆菌诱导的LinA会激活小胶质细胞中的过氧化物体,通过清除ROS和β氧化介导的表观遗传变化,触发小胶质细胞向抗炎状态的重新编程。这种方法有望成为治疗脑缺血患者的可行策略。 然而,本研究存在一些局限性,该研究中的脑缺血患者群体主要由患有烟雾病的患者组成,嗜酸乳杆菌最佳治疗效果需要在症状出现前先进行预处理,以建立必要的肠道微环境。由于急性脑梗死事件通常是难以预测的,因此确定适合提前干预的合适人选仍然具有挑战性。这一领域需要进一步探索。 如需开展ATAC-seq实验服务,欢迎随时联系我们,我们将为您提供一站式技术支持与解决方案!
项目咨询 |








